Português

Aumente sus resultados ofreciendo una nueva posibilidad ortodóntica a sus pacientes

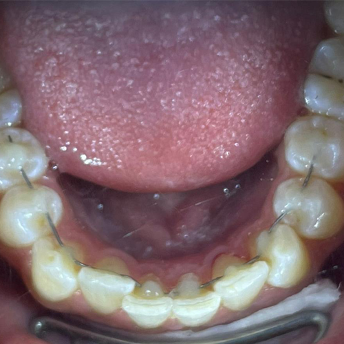
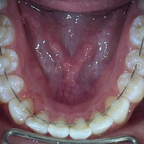
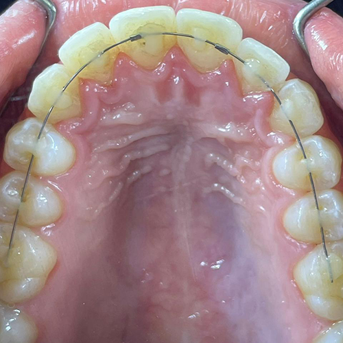
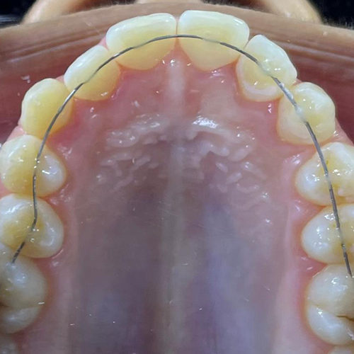
Profundice en la técnica del Hilo Invisible BOT con clases teóricas y casos reales — un procedimiento que ofrece estética, comodidad y resultados al paciente.

SUSCRÍBASE HOY CON DESCUENTO

¡Mira una clase de prueba!

¿Por qué suscribirse?

Nunca estará solo(a)

Aprenda con el apoyo del Prof. Ary Nunes y una comunidad siempre dispuesta a ayudar.

Todos los cursos disponibles

Acceda hoy mismo a todo el catálogo de clases sin limitaciones y aprenda a su propio ritmo.

La mejor inversión para usted y su negocio

Conocimiento que impulsa su carrera y transforma sus resultados.

Nunca deje de estudiar

Actualícese constantemente y esté siempre a la vanguardia en el mercado.

Certificación

Demuestre sus habilidades con certificados reconocidos y destaque profesionalmente.

Clases subtituladas

Todas las clases subtituladas en español.

NUESTROS ALUMNOS

Comprueba en la práctica cómo el conocimiento se transforma en resultados reales a través de los casos de nuestros alumnos.

SALA DE PROCEDIMIENTOS

Siga clases prácticas y la evolución de casos clínicos reales directamente desde la clínica del Dr. Ary Nunes.

Más de 50 clases ya disponibles

CURSOS COMPLETOS

Comience hoy mismo a estudiar la parte teórica de sus nuevas habilidades.

Testimonios

¿Con quién va a aprender?

Graduado en Odontología por la UFPE (Brasil), máster en Ortodoncia por UNIARARAS-SP y con especializaciones en Ortodoncia por UNIGRANRIO-RJ y Odontología del Deporte por ABO-RS.

Con más de 30 años de experiencia, el Dr. Ary Nunes es presidente de la Comisión de Odontología del Deporte del CRO-PE y Coordinador de los cursos de Especialización en Ortodoncia ESPEO (Postgrado) y de la Sports Dental Academy, y también del curso de Especialización Internacional en Odontología del Deporte de la Sports Dental Academy.

A lo largo de su carrera, ha ayudado a cientos de pacientes a alcanzar una vida más saludable y a más de 800 alumnos a desarrollar una práctica de ortodoncia más segura, eficaz y rentable.

@hiloinvisiblebot

Inversión

SUSCRIPCIÓN ANUAL

APROVECHE EL PRECIO PROMOCIONAL SOLO HOY

¿Qué incluye?
    • Sala de Procedimientos ($ 260,00)
    • Grupo de miembros en WhatsApp (No tiene precio)
    • Encuentros mensuales en vivo con el Prof. Ary ($ 260,00)
    • Curso Completo Hilo Invisible BOT ($ 190,00)
    • eBook sobre el Hilo Invisible BOT ($ 39,00)
  • Acesso anual ilimitado a todas las clases y cursos;
  • Nuevas clases y materiales todos los meses;
  • Acesso imediato a nuevos cursos;
  • Vea cuantas veces quiera y desde donde esté;
  • Sus dudas respondidas por el Prof. Ary;
  • Proyecto "Mi Primer Paciente Hilo Invisible BOT";
  • Descuentos en materiales, eventos y cursos presenciales.
REGALOS
  • Curso Completo Odonto del Deporte ($ 260,00);
  • Curso Completo Monobloque ($ 260,00);
  • Curso Completo Protetor Bucal Individualizado ($ 260,00).

de $ 1.109,00 a $ 199,90 *
o en 12 cuotas de $ 19,90

Con Tarjeta o Paypal

- Precios en dólares americanos

- Las condiciones de cuotas dependen de tu país

SUSCRIBIRSE

* Precio promocional por tiempo limitado.

Garantía de 7 días

Compra segura con Hotmart o Stripe

WhatsApp Oficial:

ATENCIÓN AL CLIENTE
+55 81 99627-0609